مطالب پیدا شده شده با برچسب : غرب آفریقا

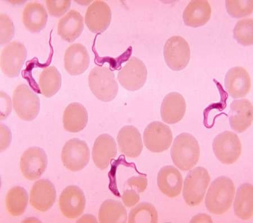
سرنخ های تازه درباره بیماری خواب
یک مطالعه تازه نشان می دهد که روی پوست افرادی که هیچ گونه علائمی از بیماری انگلی خواب ندارند، انگل های عامل این بیماری را می توان یافت. بیماری خواب که انتقال آن توسط انگل ها و از طریق نیش پشه تسه تسه صورت می گیرد، هر سال چهار هزار تا هشت هزار نفر از مردم کشورهای جنوب صحرای آفریقا را مبتلا می کند و...نظرات ارزشمند شما